第一作者:潘乐杰硕士研究生
通讯作者:袁月副研究员、杨胜韬教授
论文DOI: 10.1016/j.watres.2024.121558
图文摘要

成果简介
近日,西南民族大学杨胜韬老师课题组在Water Research上发表了题为“Reduced graphene oxide promotes the biodegradation of sulfamethoxazole by white-rot fungus Phanerochaete chrysosporium under cadmium stress”的研究论文(DOI: 10.1016/j.watres.2024.121558),探究了还原石墨烯(RGO)在Cd2+胁迫条件下对黄孢原毛平革菌(WRF)降解磺胺甲恶唑(SMX)的促进作用及机理。发现在Cd2+胁迫下RGO能够增强WRF对SMX的降解活性,提高SMX的降解效率。这可以归因于RGO具有良好的生物相容性,有效缓解了Cd2+胁迫诱导WRF产生的氧化损伤,并能促进漆酶(Lac)与锰过氧化物酶(MnP)的分泌,同时保护菌丝结构免受Cd2+的破坏。
全文速览
本研究首先通过维生素C还原法制备了RGO,将RGO与WRF同时接种至含有Cd2+的液体培养基中,培养4 d后加入SMX。通过测定培养体系中SMX的残留浓度评估WRF对其降解效能,发现在Cd2+胁迫下抑制对SMX的降解,而RGO能缓解该抑制作用并促进WRF降解SMX。为探究内在机理,测试WRF的鲜重、干重、Lac活力、MnP活力以及氧化应激各项指标评估RGO在Cd2+胁迫下对WRF生长活性的影响;通过高碘酸-希弗染色(PAS)法观察WRF的菌丝结构评估RGO在Cd2+胁迫下对菌丝结构的影响;最后使用LC-MS分析了WRF对SMX的降解路径,并进一步分析了RGO对降解路径的影响。
引言
抗生素在水环境中的残留问题已经被广泛关注,亟需寻求经济有效的去除方法,微生物降解法因具有绿色、经济、操作简单等优点而备受青睐。但重金属的广泛存在严重阻碍了水环境中抗生素的生物降解效率,因此有必要寻求一种能够提高重金属共存条件下微生物降解抗生素的方法。RGO具有良好的生物相容性与较低的生物毒性,并能够刺激微生物的生长,因此本研究选择RGO为研究对象,探究其在Cd2+胁迫下对自然界广泛存在的真菌——白腐菌(WRF)降解水中SMX的影响。
图文导读
SMX的降解

Fig. 1.The protective effect of RGO against Cd2+ stress. (a) Degradation of SMX; (b-d) Kobsfor 0 – 96 h (b), 0 – 48 h (c) and 48 – 96 h (d). Copyright 2024, Elsevier Inc.
SMX降解实验(Fig. 1)证明,RGO能够促进WRF对SMX的降解,RGO/WRF组在96 h内对SMX的降解效率比WRF组高12.16%。通过分时段计算各实验组的拟一级反应速率常数(Kobs)发现Cd2+浓度与Kobs值呈现明显的负相关性以及剂量效应,但这种剂量效应在 48 – 96 h大大减弱。同时我们发现Cd2+对WRF降解SMX的抑制作用在RGO存在时可以得到明显缓解,结果表明添加RGO的实验组降解SMX的各个时段Kobs值均要大于其未添加RGO的阴性对照组。
WRF活性测试

Fig. 2.Influence of RGO on the (a) fresh weight, (b) dry weight, (c) Lac activity and (d) MnP activity of WRFunder Cd2+ stress. Copyright 2024, Elsevier Inc.
如图Fig. 2所示,Cd2+胁迫严重抑制了黄孢原毛平革菌Lac与MnP的活性。当Cd2+浓度为24 mg/L时,Lac与MnP活力值分别为0.45 U/L与38.28 U/L。而RGO的存在可以使Lac与MnP活力值保持在正常水平,即使在Cd2+浓度为24 mg/L时,RGO/WRF/Cd2+ – 24 mg/L组Lac与MnP活力值分别为67.2 U/L与328.5 U/L。Lac与MnP在SMX降解过程中发挥着巨大作用,RGO在Cd2+胁迫下对Lac与MnP活性的保护作用解释了Fig. 1的现象。
氧化应激

Fig. 3. Oxidative stress of WRF before adding SMX (a) and after the degradation of SMX (b). Copyright 2024, Elsevier Inc.
测试了WRF降解SMX前后的氧化应激情况(Fig. 3)。发现在降解SMX前Cd2+对WRF造成了严重的氧化损伤,而RGO减缓了Cd2+胁迫诱导的氧化损伤,使WRF机体能产生正常的氧化应激反应。降解SMX后观察到所有的实验组均产生了正常的氧化应激反应,即使在未添加RGO的阴性对照组中。这一现象可以归结为:Cd2+对WRF短期毒性较大,长期培养后可以恢复活性,这也进一步解释了Fig. 1中48 – 96 h中Cd2+对Kobs值剂量效应减弱的原因。
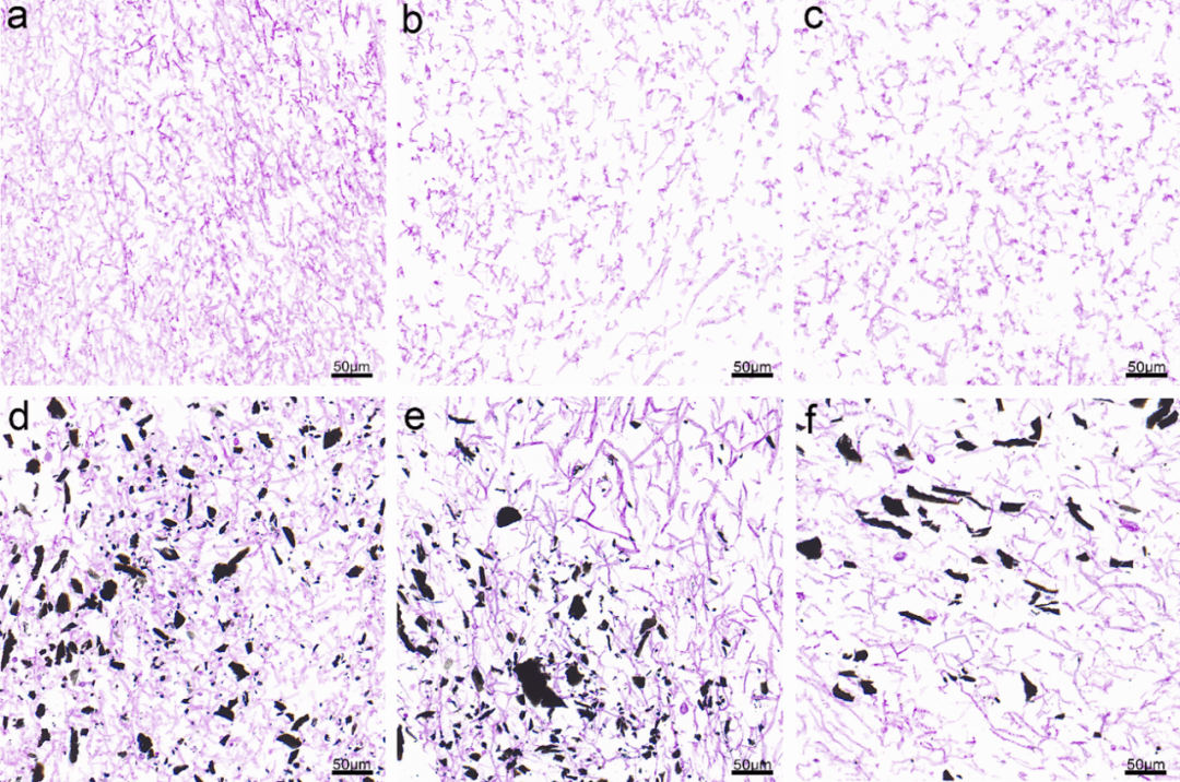
菌丝结构

Fig. 4. Influence of RGO and Cd2+ on the fungus mycelia after the degradation of SMX. (a) WRF; (b) WRF/Cd2+-8 mg/L; (c) WRF/Cd2+-24 mg/L; (d) RGO/WRF; (e) RGO/WRF/Cd2+-8 mg/L; (f) RGO/WRF/Cd2+-24 mg/L.
通过PAS法观察了不同浓度Cd2+胁迫下的菌丝结构,发现Cd2+严重破坏了WRF的菌丝纤维结构,使菌丝密度变小,长度变短,同时出现大量腐烂的菌丝体。RGO的存在保护了菌丝结构,尽管在高浓度Cd2+(24 mg/L)胁迫下出现了菌丝密度变小的情况,但依然保留了菌丝的纤维结构。
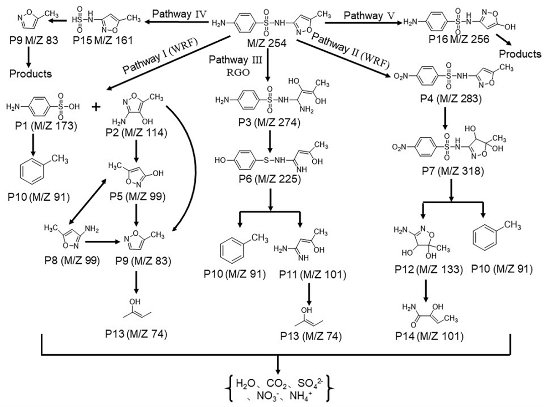
降解路径

Fig. 5.The main biodegradation pathways of SMX by WRF. Copyright 2024, Elsevier Inc.
使用LC-MS评估了WRF对SMX的降解路径,并进一步分析了RGO对降解路径的影响。结果发现WRF对SMX的降解路径主要包括路径I与路径II,而RGO的加入诱导了WRF对SMX降解新路径的产生。
自然水体验证

Fig. 6. Degradation of SMX in Lake Water. Copyright 2024, Elsevier Inc.
此外,以成都某景观湖泊水为实际水体进行验证,可以发现与液体培养基体系相同的趋势。即WRF降解SWX的作用在Cd2+胁迫下被抑制,RGO促进该作用,并可以缓解Cd2+对WRF的抑制胁迫。
小结
这项工作探究了WRF在Cd2+胁迫条件下对SMX的降解情况,重点关注了RGO在这一过程中起到的促进作用并探究了内在机理。发现RGO可以通过保护菌丝结构、缓解Cd2+胁迫诱导的氧化损伤、提高Lac与MnP活力值来促进WRF对SMX的降解。该工作为使用生物降解法处理重金属胁迫下水环境中的抗生素提供了重要的研究基础。
作者介绍

杨胜韬,西南民族大学化学与环境学院教授、科学研究发展院院长,入选国家级青年人才计划、四川省学术和技术带头人、国家民委领军人才。研究方向为环境纳米生物效应,包括发展C-13稳定同位素标记定量碳纳米材料方法、从碳和氮循环角度评价纳米材料的转化与环境生物效应、通过化学设计调控石墨烯与环境物质的作用等。在J. Am. Chem. Soc.、Environ. Sci. Technol.、Water Res.等发表论文140余篇,SCI总引用超过10000次;连续四年入选爱思唯尔中国高被引学者。

袁月,西南民族大学化学与环境学院副研究员。研究方向为铁基催化材料的开发及其对水环境中污染物的去除、高原水污染控制技术及其资源化利用等。在Water Res.、J. Clean. Prod.、J. Hazard. Mater.等发表SCI论文20余篇。
备注: Permissions for reuse of all Figures have been obtained from the original publisher. Copyright 2024, Elsevier Inc.
参考文献:Pan, L., Hu, Y., Zhang, Z., Yuan, Y., Zhong, Q., Yang, S., 2024. Reduced graphene oxide promotes the biodegradation of sulfamethoxazole by white-rot fungus Phanerochaete chrysosporium under cadmium stress. Water Research. 121558.
文章链接: https://www.sciencedirect.com/science/article/abs/pii/S0043135424004603
本文来自Environmental Advances,本文观点不代表石墨烯网立场,转载请联系原作者。
